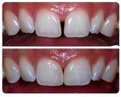
Diastema closure or gap closure of the teeth can be done using several methods, like orthodontics, composite bonding, or porcelain veneers for optimal aesthetic results.
A diastema that occurs because of a mismatch between the teeth and the jaw does not have symptoms. However, spaces caused by a tongue thrust habit or periodontal disease will tend to expand or grow with time. The teeth may become loose, and discomfort or pain may occur, particularly during biting or chewing.
Sometimes, a diastema is part of a set of problems that require orthodontic treatment. In other cases, a diastema is the only problem. However, some people may seek treatment for reasons of appearance.
Some people get braces, which move the teeth together. Often, no matter where the diastema is, you must wear a full set of braces - on both your upper and lower teeth. That's because moving any teeth affects your entire mouth.If your lateral incisors are too small, your dentist may suggest widening them using crowns, veneers or bonding.If you have a space because you are missing teeth, you might need more extensive dental repair. This might include dental implants, a bridge or a partial denture.
If a large labial frenum is causing the gap, the frenum can be reduced through surgery called a frenectomy. If a frenectomy is done in a younger child, the space may close on its own. If it is done in an older child or an adult, the space may need to be closed with braces.
If the gap is caused by periodontal disease, then periodontal treatment by a dentist or gum specialist (periodontist) is necessary. When gum health is restored, in many cases braces can be used to move the teeth into place. A splint can be used to attach teeth to other teeth and prevent them from moving again. In some cases, a bridge will be required to close the spaces.
Dr.P.Rajesh Kumar
MDS
Ask Doctor
I've always been apprehensive about dental treatment and dentist,but at Thangam's it was a wonderful experience,...
Read More